Pomimo zdarzających się tragicznych wypadków śmiertelnych, sport spadochronowy nie jest zajęciem dla szaleńców lubiących igrać ze śmiercią. Statystycznie skoki są relatywnie bezpieczne. Średnio rocznie w wypadkach przy skoku ginie jedna, czasem dwie osoby. Znacznie więcej doznaje urazów.
Początkowo największą barierą poza strachem mogą okazać się koszty. Jednorazowy skok w tandemie (z instruktorem) to koszt ok. 700 zł, natomiast skoki samodzielne wykonywane po pełnym szkoleniu to już koszt ok. 4000–5000 zł. Każdy późniejsze skok to koszt 90–150 zł, w który zawiera się miejsce w samolocie i wypożyczenie spadochronu. Aby zacząć skakać, należy być przede wszystkim pełnoletnim i zdrowym. Chodzi głównie o wzrok, słuch, kręgosłup. Nie ma tutaj obowiązku żadnych badań, a osoba wykonująca skok bierze odpowiedzialność sama za siebie.
Aby w pełni zrozumieć, w jaki sposób dochodzi do samego mechanizmu urazu, niezbędna jest znajomość faz skoków spadochronowych. Najczęstszą przyczyną są błędy przy lądowaniu, usterki sprzętu, brak doświadczenia i wiedzy w przypadku początkujących skoczków.
Etapy skoku spadochronowego:
- wyjście,
- swobodne spadanie,
- otwarcie spadochronu,
- lądowanie.
Urazy stawów skokowych to zdecydowanie jeden z najczęstszych urazów wśród skoczków cywilnych i wojskowych, z czego aż 30–60% urazów występuje podczas lądowania. Ryzyko zwiększa się analogicznie do braku doświadczenia u młodych skoczków. W spadochroniarstwie wyróżniamy także urazy kolan, ud, miednicy, kręgosłupa, kończyn górnych, głowy.
Rodzaje skoków spadochronowych
Wśród skoków spadochronowych wyróżniamy skok w tandemie, Accelerated FreeFall (AFF) oraz szkolenie metodą Static Line Training (metoda klasyczna).
Skok tandemowy stał się obecnie najbardziej popularny. Polega na skoku z samolotu, mając spadochron dwuosobowy z osobą wykwalifikowaną (instruktorem), który otacza opieką pasażera. Jest to zdecydowanie najbezpieczniejszy z możliwych sposób przeżycia tego niesamowitego doświadczenia. Skok wykonuje się z wysokości 3000–4000 m.
Taka wysokość umożliwia swobodne spadanie 35–60 sekund z prędkością nawet do 200 km/h. Po upłynięciu podanego czasu następuje otwarcie spadochronu przez instruktora, a następnie swobodny lot przez kilka minut, podczas których można podziwiać widoki. Skok ten nie wymaga wielkich przygotowań, wystarczy kilkunastominutowy instruktarz. Najważniejsza wydaje się być poprawna technika lądowania, która zależy od instruktora.
Drugi rodzaj skoku odbywa się po kilkuspotkaniowym szkoleniu składającym się z części praktycznej i teoretycznej. Accelerated FreeFall jest metodą, która ma nauczyć młodego skoczka wykonywania skoków z opóźnionym otwarciem spadochronu. Pierwsze trzy skoki wykonywane są przez kursanta wraz z dwoma instruktorami. Kolejne odbywają się już tylko z jednym instruktorem. Łącznie kursant ma do zaliczenia siedem skoków z wysokości 3000–4000 m.
Ostatni rodzaj skoku to szkolenie metodą Static Line Traning (metoda klasyczna). Kurs liczy 4–5 godzin nauczania teoretycznego, a następnie przechodzi się do części praktycznej. Adept wyskakuje z samolotu na wysokości 1200 m i doświadcza 2–3-sekundowego spadania, po czym otwiera się spadochron automatyczny. Kursant wykonuje trzy takie skoki.
Najwyższym szczeblem są uprawnienia instruktorskie i te uprawniające do bycia pilotem tandemu. Trzeba pamiętać, że podjęcie się takiego zajęcia to ogromna odpowiedzialność. Droga do tych uprawnień jest więc zdecydowanie trudniejsza. Należy odbyć ponad tysiąc samodzielnych skoków, przejść szczegółowe badania lekarskie, ale także egzamin teoretyczny i praktyczny. Uprawnienia wymagają regularnego odnawiania.
Skoki spadochronowe wiążą się z ryzykiem. Wiele osób zdaje sobie sprawę z tego, że jest to sport ekstremalny, w którym dochodzi do wypadków śmiertelnych, jednak współczynnik drobniejszych urazów czy złamań zostaje wielokrotnie zlekceważony.
Sprzęt
Powyższe wytyczne to nie wszystko co trzeba mieć, aby skakać. Niezbędny jest odpowiedni sprzęt, który ma ogromne znaczenie przy zapewnianiu bezpieczeństwa skoczka. W przypadku pojedynczego skoku, złożony do skoku spadochron kosztuje 50 zł. Konieczne jest także wypożyczenie kasku i kombinezonu, które dodawane są niejednokrotnie gratis.
Kupienie własnego sprzętu do skakania to inwestycja oscylująca wokół 20 tysięcy złotych (spadochron zwykły i zapasowy). Konieczne jest także urządzenie, które samo otwiera spadochron na pewnej wysokości, gdyby skoczek z jakiegoś powodu nie był sam w stanie tego wykonać. Takie urządzenie to koszt 4–5 tysięcy złotych. Nadgarstkowy pomiar wysokości, kask, gogle, kombinezon – to wszystko pociąga za sobą kolejne koszty.
Miejsce
Aby wykonywać skok na spadochronie potrzeba jest tzw. strefa spadochronowa oraz samolot. W Polsce znajduje się kilka takich stref należących do aeroklubu lub niektóre z nich należą do prywatnych firm. Dlaczego jest to ważne? Otóż strefa to miejsce wyznaczone jako obszar powietrzny, gdzie krążą samoloty ze skoczkami. Ziemia to przygotowany dla skoczków duży płaski i trawiasty obszar do lądowania wraz z pasem startowym dla samolotów oraz jakąś infrastrukturą, gdzie skoczkowie oczekują na skok wraz ze spadochroniarnią (budynkiem gdzie przechowywane są i składane spadochrony).
Jeśli ktoś chce zrozumieć, co można poczuć w trakcie skoku, od kilku lat w Polsce mamy obecnie dostęp do tuneli aerodynamicznych. Są to najlepsze na świecie symulatory swobodnego spadania, miejsca, w których grawitacja nie istnieje. Od strony technicznej: są to pionowe tunele o średnicy 4,5 metra o zamkniętym obiegu powietrza w którym wentylatory dużej mocy wytwarzają jednorodny strumień powietrza o prędkości do 330 km/h. Tunel aerodynamiczny to urządzenie do spełniania odwiecznego marzenia człowieka – swobodnego unoszenia się w powietrzu, latania niczym ptak, a dla osób, które marzą o skokach ze spadochronem, to dokonała okazja aby w bezpieczny sposób przećwiczyć zachowanie w powietrzu.
PRZYPADEK URAZU NA SPADOCHRONIE WRAZ Z POSTĘPOWANIEM
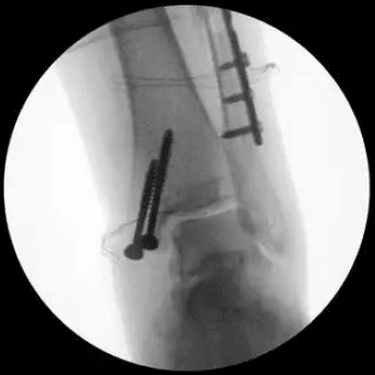
Na rehabilitację trafiła kobieta, lat 25, która w wyniku nieprawidłowego lądowania przy drugim kursie na AFF doznała wieloodłamowego złamania kości strzałkowej lewej, kostki przyśrodkowej i krawędzi tylnej piszczeli. Kończynę unieruchomiono w ortezie typu walker. Wykonano zabieg zespolenia złamania kostki bocznej płytą Medal – mocowana dwoma śrubami korowymi i czterema śrubami blokowanymi. Zespolenie kostki przyśrodkowej dwoma śrubami kostkowymi.
![]()
![]()
ZALECENIA LEKARSKIE
Chodzenie o dwóch kulach łokciowych, utrzymanie unieruchomienia, kontrola po 14 dniach i 30 dniach. Pierwsze tygodnie pouczono pacjentkę o powadze sytuacji i o tym, aby oszczędzać nogę, zainwestować w sen i dietę. Na tym etapie ogromnym wsparciem dla chorego jest współpraca z trenerem personalnym, fizjoterapeutą, ale także dietetykiem. Kolejnym krokiem jest włączenie (dodanie do metod niefarmakologicznych) doustnych leków przeciwbólowych. Na każdym etapie można uzupełnić leczenie o terapie miejscową (żele, spraye, plastry o działaniu przeciwbólowym i przeciwzapalnym).
ETAP I (faza pooperacyjna)
W tym okresie wprowadzono elektrostymulacje na mięśnie podudzia oraz po zdjęci...
